
Faridabad (Haryana) [India], August 29 (ANI): A three-year-old boy and his four-year-old sister suffered life-threatening internal tears after swallowing toy magnets purchased online. Doctors in Haryana’s Faridabad performed two marathon surgeries within 48 hours, saving both siblings.
In an unusual medical emergency, doctors treated two siblings, aged three and four, who suffered severe tears and injuries in their stomach and intestines after swallowing small toy magnets purchased online from a leading children’s toy brand. The children were admitted on August 12 and 13, both requiring major surgery to survive.
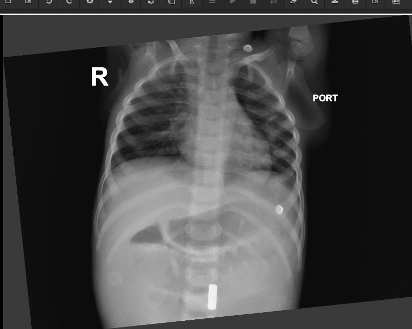
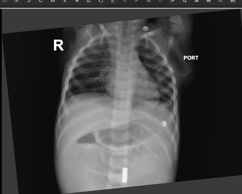
“The three-year-old boy, Pragyan, was brought in with violent abdominal pain and continuous vomiting. Scans showed multiple foreign objects lodged in his intestines. During surgery, doctors found ten magnets had clamped together inside, tearing holes at eight different points and destroying the shortest section of the small intestine, called the duodenum. Barely 24 hours later, his four-year-old sister, Hitanshi, arrived at the hospital with similar symptoms. Investigations revealed six magnets inside her stomach, which had caused multiple perforations and tissue death in her stomach cavity,” said the hospital.
“This was one of the toughest situations we have faced,” said Dr Nitin Jain, Senior Consultant, Pediatric Surgery, Amrita Hospital, Faridabad, who managed both cases and called magnets a ‘silent killer’.
“Unlike coins or buttons, which usually cause obstruction, magnets silently damage tissue from within. A single small magnet will often pass through the body without issue, but when multiple magnets are swallowed, they can move to different parts of the intestine and snap together across the intestinal walls. The tissue trapped between them loses blood supply, becomes necrotic, and quickly develops perforations. This triggers a chain of life-threatening infections and sepsis,” Dr Jain said.
The surgeries involved complex reconstruction of the damaged digestive tract, including the duodenum, which is described as one of the most challenging parts of pediatric surgery.
Since small magnets can scatter to different sections of the stomach and intestines, the team used a C-Arm fluoroscopy machine, which provides real-time X-ray imaging during the operation to ensure precision. The careful combination of intricate repair and advanced imaging was crucial to securing children’s survival within 48 hours.
“We had bought these toys believing they were safe, never imagining they could bring us so close to losing both our children,” said the parents of the children, who bought the toys online from a leading children’s toy brand. “It started with our younger son. He suddenly developed severe stomach pain and kept vomiting, and within hours, we were rushing him to the hospital. We thought it was just a stomach bug, but then scans showed magnets inside his intestine. Before we could even process that shock, the very next day, our daughter began showing the same symptoms.”
After weeks of critical care, the siblings have finally been discharged. Doctors have cautioned parents about the dangers of magnetic toys, noting that a high proportion of such cases globally require risky surgeries and can sometimes prove fatal.
Experts stress that the most effective solution is simply keeping children away from toys with detachable magnets and other small objects that could be ingested. If magnet ingestion is suspected, doctors warn not to wait for symptoms and seek immediate medical help, as delays can rapidly lead to organ damage and life-threatening infections. (ANI)


